Prešovskí ortopédi spustili unikátnu liečbu chronických rán, ktorá môže zabrániť amputáciám

64x
16. Február 2026
Prešovskí ortopédi ako prví v strednej a vo východnej Európe zachraňujú končatiny pred amputáciou unikátnou metódou
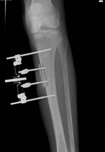
 Prešovskí ortopédi zaviedli metódu TTT. (Zdroj: FNsP Prešov)
 
Špecialisti oddelenia ortopédie Fakultnej nemocnice s poliklinikou J. A. Reimana Prešov rozšírili možnosti liečby pacientov s chronickými, nehojacimi sa ranami dolných končatín. Ako prví v strednej a východnej Európe zaviedli metódu transverzálneho tibiálneho kostného transportu (TTT).
 
Unikátny liečebný postup, ktorý oddelenie zaviedlo do praxe od druhej polovice roka 2025, predstavuje riešenie pre pacientov, ktorí pre chronické nehojace sa rany dolných končatín majú nielen obmedzenú pohyblivosť a dlhodobé bolesti, ale neraz im hrozí riziko amputácie končatiny. Podobné výkony sa najbližšie realizujú mimo Prešov na pracoviskách v Taliansku, Nemecku či Švajčiarsku. 
 
Unikátna metóda, ktorá aktivuje hojenie 
 
Metóda TTT využíva špeciálny externý fixátor, pomocou ktorého lekári počas niekoľkých týždňov kontrolovane transportujú tibiálny kostný blok, čím sa aktivujú obnovujúce a uzdravujúce procesy v tele pacienta. Dochádza k tvorbe rastových faktorov, podpore tvorby nových ciev, tkanív a k zlepšeniu prekrvenia, čím sa vytvárajú podmienky na hojenie. Nový liečebný postup je určený najmä pacientom s defektmi v oblasti chodidla a predkolenia, napríklad pri diabetickej nohe (komplikácia spojená s cukrovkou), poruchách prekrvenia dolných končatín, pri chronických infekciách alebo po predchádzajúcich neúspešných chirurgických výkonoch na chodidle.
 
 
„Jemnou technikou bez poškodenia priľahlých mäkkých tkanív vysekneme časť kosti, ktorú následne vysúvame z jej kostného lôžka. Vytvárame tak priestor pre tvorbu buniek, ktoré umožnia hojenie poškodeného tkaniva. Dôležité je aj to, že pod miestom osteotómie, teda kostného transportu, sa postupne vytvárajú nové cievy, čo je ďalším predpokladom úspešného hojenia. Výsledkom je, že u pacientov, ktorým hrozila strata končatiny, dokážeme vytvoriť podmienky na jej zachovanie,“ vysvetľuje MUDr. Boris Džula, MPH, primár Oddelenia ortopédie FNsP J. A. Reimana Prešov.
 
Šanca pre pacientov bez inej možnosti 
 
Dôležitý je správny výber pacientov. Uvedená metóda TTT predstavuje unikátne riešenie pre presne vybranú skupinu pacientov. Technicky a časovo náročná liečba si vyžaduje dôslednú spoluprácu s odborníkmi a včasné odoslanie na špecializované pracovisko. V rámci prešovského oddelenia ortopédie ju k dnešnému dňu absolvovali štyria pacienti, vrátane pacienta trpiaceho diabetickou nohou, spojenou s infekčným zápalom kostí chodidla. Pacient, ktorému pred liečbou novou metódou reálne hrozila amputácia končatiny pod kolenom, je po niekoľkých týždňoch už nastavený na konzervatívnu – neinvazívnu liečbu.
 
 Metóda TTT je riešením pre presne vybranú skupinu pacientov. (Zdroj: FNsP Prešov)
 
„S kolegami nás možnosť vykonávať tento typ kostného transportu teší nielen z hľadiska, že sme túto metódu ponúkli našim pacientom ako prví v regióne, ale najmä pre samotnú príležitosť realizovať tento operačný výkon a pokúsiť sa pomôcť ľuďom, ktorí už v danom stave inú možnosť nemajú. Tieto nové postupy prinášajú našim pacientom reálny úžitok a dostupnosť kvalitnej a inovatívnej liečby doma, bez nutnosti hľadať pomoc v zahraničí,“ dopĺňa primár Džula. 
 
Skúsené pracovisko s vysokým počtom výkonov
 
Oddelenie ortopédie FNsP J. A. Reimana Prešov patrí dlhodobo medzi rešpektované pracoviská na Slovensku. V roku 2025 tu lekári vykonali približne 1 700 operačných výkonov, z toho viac než 1 050 endoprotetických výkonov – kĺbových náhrad. Revízne endoprotetické operácie, čiže opakované výmeny alebo opravy už implantovaných kĺbových náhrad, tvorili 120 výkonov, čo je najviac na Slovensku..
 
Samotná myšlienka kostného transportu a regenerácie kostného tkaniva nie je v ortopédii nová, Postup, odborne označený ako distrakčná histogenéza, pochádza od jedného z najvýznamnejších ortopédov Gavriila Ilizarova, ktorý pôsobil na Sibíri v Kurgane.
(14:45, FNsP Prešov)
Diskusia
Pridať komentár
mark